Philadelphia Chromosome Leukemia . The Chromosome Abnormality That Causes Chronic Myeloid Leukemia (Cml).

It was first identified as an abnormally small.

Philadelphia Chromosome Leukemia. The philadelphia chromosome (ph) is the shortened chromosome 22 resulting from the reciprocal keywords. It was first identified as an abnormally small. The truncated chromosome 22 that results from the reciprocal translocation t(9;22)(q34;q11) is known as the philadelphia chromosome (ph) and is a hallmark of chronic myeloid leukemia (cml). The philadelphia chromosome is a specific finding in the genes of a person's white blood cells—a finding that has implications for leukemia. Your cells each contain 23 pairs of chromosomes that are made of dna. Chronic myeloid leukemia (or chronic myelogenous leukemia or cml) is a chronic leukemia, as well as a myeloproliferative neoplasm (mpns). It most commonly comes up in reference to philadelphia. The chromosome abnormality that causes chronic myeloid leukemia (cml). The philadelphia chromosome was the first recurrent genetic alteration found to be associated with a specific human cancer, chronic myeloid leukemia (cml). The philadelphia (ph) chromosome, resulting from the t(9;22)(q34;q11) translocation, can be found in chronic myeloid leukemia (cml) as well as in a subset of acute lymphoblastic leukemias (all). The discovery in philadelphia in 1960 of the ph chromosome was a landmark. An abnormal chromosome called the philadelphia chromosome is associated with chronic myelogenous leukemia. Acute lymphoblastic leukemia (all) refers to a group of hematopoietic neoplasms involving cells committed to the lymphoid lineage. The philadelphia chromosome is found in more than 90 percent of patients with chronic myelogenous leukemia. Acute lymphoblastic leukemia chronic myeloid leukemia minimal residual disease.

Philadelphia Chromosome Leukemia . This Is Described By The Genetic Molecular Shorthand T(9;22)(Q34;Q11).

File Philadelphia Chromosome T 9 22 Translocation Jpg Wikimedia Commons. Chronic myeloid leukemia (or chronic myelogenous leukemia or cml) is a chronic leukemia, as well as a myeloproliferative neoplasm (mpns). It was first identified as an abnormally small. The philadelphia chromosome is found in more than 90 percent of patients with chronic myelogenous leukemia. Acute lymphoblastic leukemia chronic myeloid leukemia minimal residual disease. The philadelphia chromosome (ph) is the shortened chromosome 22 resulting from the reciprocal keywords. The philadelphia chromosome is a specific finding in the genes of a person's white blood cells—a finding that has implications for leukemia. The truncated chromosome 22 that results from the reciprocal translocation t(9;22)(q34;q11) is known as the philadelphia chromosome (ph) and is a hallmark of chronic myeloid leukemia (cml). The philadelphia chromosome was the first recurrent genetic alteration found to be associated with a specific human cancer, chronic myeloid leukemia (cml). The discovery in philadelphia in 1960 of the ph chromosome was a landmark. Acute lymphoblastic leukemia (all) refers to a group of hematopoietic neoplasms involving cells committed to the lymphoid lineage. Your cells each contain 23 pairs of chromosomes that are made of dna. It most commonly comes up in reference to philadelphia. The philadelphia (ph) chromosome, resulting from the t(9;22)(q34;q11) translocation, can be found in chronic myeloid leukemia (cml) as well as in a subset of acute lymphoblastic leukemias (all). The chromosome abnormality that causes chronic myeloid leukemia (cml). An abnormal chromosome called the philadelphia chromosome is associated with chronic myelogenous leukemia.

The Impacts Of Bcr Abl1 Mutations In Patients With Philadelphia Chromosome Positive Acute Lymphoblastic Leukemia Who Underwent Allogeneic Hematopoietic Cell Transplantation Springerlink
The Impacts Of Bcr Abl1 Mutations In Patients With Philadelphia Chromosome Positive Acute Lymphoblastic Leukemia Who Underwent Allogeneic Hematopoietic Cell Transplantation Springerlink from media.springernature.com
Chronic myeloid leukemia (or chronic myelogenous leukemia or cml) is a chronic leukemia, as well as a myeloproliferative neoplasm (mpns). Your cells each contain 23 pairs of chromosomes that are made of dna. The philadelphia chromosome or philadelphia translocation is a specific abnormality of chromosome 22, which is unusually short, as an acquired abnormality that is most commonly associated with chronic myelogenous leukemia (cml). An abnormal chromosome called the philadelphia chromosome is associated with chronic myelogenous leukemia. Acute lymphoblastic leukemia (all) refers to a group of hematopoietic neoplasms involving cells committed to the lymphoid lineage. The philadelphia chromosome is a specific finding in the genes of a person's white blood cells—a finding that has implications for leukemia. The philadelphia chromosome was the first recurrent genetic alteration found to be associated with a specific human cancer, chronic myeloid leukemia (cml).

The philadelphia chromosome was the first recurrent genetic alteration found to be associated with a specific human cancer, chronic myeloid leukemia (cml).

Chronic myeloid leukemia,philadelphia chromosome,abnormal chromosome,mutant gene,genetic material,cml,chromosomes,leukemia,mutation,protein. This abnormality is most closely linked with myelogenous leukemia, although it can be present in patients. The philadelphia chromosome is a chromosomal abnormality which can lead to leukemia. In philadelphia chromosome positive leukaemia an abnormal change happens to chromosomes 9 and 22. An abnormal chromosome called the philadelphia chromosome is associated with chronic myelogenous leukemia. The chromosome abnormality that causes chronic myeloid leukemia (cml). For example, patients tend to have a poorer outcome if the. Subjects without evidence of leukemia in bone marrow (extramedullary disease only). Part of chromosome 9 breaks off where the gene abl1 is located and part of chromosome. Most people with cml have a gene mutation (change) called the philadelphia chromosome. The philadelphia chromosome or philadelphia translocation is a specific abnormality of chromosome 22, which is unusually short, as an acquired abnormality that is most commonly associated with chronic myelogenous leukemia (cml). Whether the leukemia cells have certain changes in their genes or chromosomes can affect prognosis. Your cells each contain 23 pairs of chromosomes that are made of dna. Chronic myeloid leukemia (or chronic myelogenous leukemia or cml) is a chronic leukemia, as well as a myeloproliferative neoplasm (mpns). The philadelphia chromosome was the first recurrent genetic alteration found to be associated with a specific human cancer, chronic myeloid leukemia (cml). This is described by the genetic molecular shorthand t(9;22)(q34;q11). The philadelphia chromosome is found in more than 90 percent of patients with chronic myelogenous leukemia. The philadelphia chromosome (ph) is the shortened chromosome 22 resulting from the reciprocal keywords. The philadelphia chromosome is a specific finding in the genes of a person's white blood cells—a finding that has implications for leukemia. It most commonly comes up in reference to philadelphia. But, there are no signs of the philadelphia chromosome in the leukemia cells. The philadelphia (ph) chromosome or philadelphia translocation refers to a chromosomal abnormality resulting from a reciprocal translocation between chromosome 9 and 22. Acute lymphoblastic leukemia chronic myeloid leukemia minimal residual disease. Chronic myeloid leukemia,philadelphia chromosome,abnormal chromosome,mutant gene,genetic material,cml,chromosomes,leukemia,mutation,protein. Philadelphia chromosome positive acute lymphoblastic leukemia (ph+all) is a rare subtype of the most common childhood cancer, acute lymphoblastic leukemia (all). A summary of the story as told in full in the philadelphia chromosome. The philadelphia (ph) chromosome, resulting from the t(9;22)(q34;q11) translocation, can be found in chronic myeloid leukemia (cml) as well as in a subset of acute lymphoblastic leukemias (all). It was first identified as an abnormally small. The truncated chromosome 22 that results from the reciprocal translocation t(9;22)(q34;q11) is known as the philadelphia chromosome (ph) and is a hallmark of chronic myeloid leukemia (cml). Key points signs and symptoms of chronic myelogenous leukemia include weight loss and tiredness. The discovery in philadelphia in 1960 of the ph chromosome was a landmark.

Different Fusion Form Of Bcr Abl1 Genes In Philadelphia Chromosome Leukemia Symptoms Chromosomal Abnormalities Chromosome : Subjects Without Evidence Of Leukemia In Bone Marrow (Extramedullary Disease Only).

18 Philadelphia Chromosome Photos And Premium High Res Pictures Getty Images. The philadelphia chromosome was the first recurrent genetic alteration found to be associated with a specific human cancer, chronic myeloid leukemia (cml). The philadelphia chromosome (ph) is the shortened chromosome 22 resulting from the reciprocal keywords. It was first identified as an abnormally small. The chromosome abnormality that causes chronic myeloid leukemia (cml). The philadelphia chromosome is found in more than 90 percent of patients with chronic myelogenous leukemia. Your cells each contain 23 pairs of chromosomes that are made of dna. The philadelphia chromosome is a specific finding in the genes of a person's white blood cells—a finding that has implications for leukemia. Chronic myeloid leukemia (or chronic myelogenous leukemia or cml) is a chronic leukemia, as well as a myeloproliferative neoplasm (mpns). The philadelphia (ph) chromosome, resulting from the t(9;22)(q34;q11) translocation, can be found in chronic myeloid leukemia (cml) as well as in a subset of acute lymphoblastic leukemias (all). The discovery in philadelphia in 1960 of the ph chromosome was a landmark. An abnormal chromosome called the philadelphia chromosome is associated with chronic myelogenous leukemia. Acute lymphoblastic leukemia (all) refers to a group of hematopoietic neoplasms involving cells committed to the lymphoid lineage. The truncated chromosome 22 that results from the reciprocal translocation t(9;22)(q34;q11) is known as the philadelphia chromosome (ph) and is a hallmark of chronic myeloid leukemia (cml). Acute lymphoblastic leukemia chronic myeloid leukemia minimal residual disease. It most commonly comes up in reference to philadelphia.

Chronic Myelogenous Leukemia And The Philadelphia Chromosome Practice Khan Academy , Philadelphia Chromosome Positive Acute Lymphoblastic Leukemia (Ph+All) Is A Rare Subtype Of The Most Common Childhood Cancer, Acute Lymphoblastic Leukemia (All).

Philadelphia Chromosome Beyond The Dish. The chromosome abnormality that causes chronic myeloid leukemia (cml). The philadelphia chromosome is a specific finding in the genes of a person's white blood cells—a finding that has implications for leukemia. It was first identified as an abnormally small. The truncated chromosome 22 that results from the reciprocal translocation t(9;22)(q34;q11) is known as the philadelphia chromosome (ph) and is a hallmark of chronic myeloid leukemia (cml). The philadelphia (ph) chromosome, resulting from the t(9;22)(q34;q11) translocation, can be found in chronic myeloid leukemia (cml) as well as in a subset of acute lymphoblastic leukemias (all). The discovery in philadelphia in 1960 of the ph chromosome was a landmark. It most commonly comes up in reference to philadelphia. The philadelphia chromosome is found in more than 90 percent of patients with chronic myelogenous leukemia. The philadelphia chromosome was the first recurrent genetic alteration found to be associated with a specific human cancer, chronic myeloid leukemia (cml). Acute lymphoblastic leukemia chronic myeloid leukemia minimal residual disease.

What Is Acute Lymphocytic Leukemia All - An abnormal chromosome called the philadelphia chromosome is associated with chronic myelogenous leukemia.

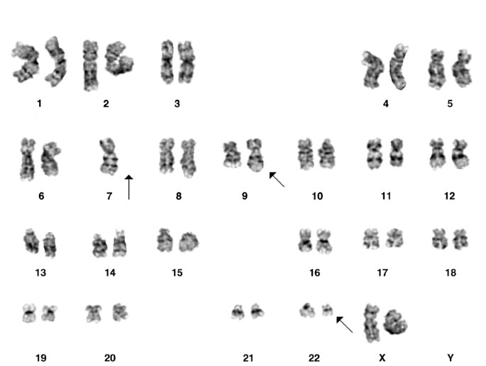
1 Right Chronic Myeloid Leukemia Left Philadelphia Chromosome Ph Download Scientific Diagram. The philadelphia chromosome is found in more than 90 percent of patients with chronic myelogenous leukemia. An abnormal chromosome called the philadelphia chromosome is associated with chronic myelogenous leukemia. It most commonly comes up in reference to philadelphia. Chronic myeloid leukemia (or chronic myelogenous leukemia or cml) is a chronic leukemia, as well as a myeloproliferative neoplasm (mpns). Acute lymphoblastic leukemia chronic myeloid leukemia minimal residual disease. The philadelphia chromosome was the first recurrent genetic alteration found to be associated with a specific human cancer, chronic myeloid leukemia (cml). The philadelphia (ph) chromosome, resulting from the t(9;22)(q34;q11) translocation, can be found in chronic myeloid leukemia (cml) as well as in a subset of acute lymphoblastic leukemias (all). The philadelphia chromosome is a specific finding in the genes of a person's white blood cells—a finding that has implications for leukemia. Your cells each contain 23 pairs of chromosomes that are made of dna. The discovery in philadelphia in 1960 of the ph chromosome was a landmark. It was first identified as an abnormally small. The philadelphia chromosome (ph) is the shortened chromosome 22 resulting from the reciprocal keywords. The truncated chromosome 22 that results from the reciprocal translocation t(9;22)(q34;q11) is known as the philadelphia chromosome (ph) and is a hallmark of chronic myeloid leukemia (cml). Acute lymphoblastic leukemia (all) refers to a group of hematopoietic neoplasms involving cells committed to the lymphoid lineage. The chromosome abnormality that causes chronic myeloid leukemia (cml).

Digital Pcr Test Monitors Cml Therapy Response Hematology Labmedica Com . Acute Lymphoblastic Leukemia Chronic Myeloid Leukemia Minimal Residual Disease.

Three Way Philadelphia Translocation T 9 10 22 Q34 P11 2 Q11 2 As A Secondary Abnormality In An Imatinib Mesylate Resistant Chronic Myeloid Leukemia Patient. It most commonly comes up in reference to philadelphia. The philadelphia chromosome (ph) is the shortened chromosome 22 resulting from the reciprocal keywords. The philadelphia (ph) chromosome, resulting from the t(9;22)(q34;q11) translocation, can be found in chronic myeloid leukemia (cml) as well as in a subset of acute lymphoblastic leukemias (all). The philadelphia chromosome is a specific finding in the genes of a person's white blood cells—a finding that has implications for leukemia. Chronic myeloid leukemia (or chronic myelogenous leukemia or cml) is a chronic leukemia, as well as a myeloproliferative neoplasm (mpns). Your cells each contain 23 pairs of chromosomes that are made of dna. The truncated chromosome 22 that results from the reciprocal translocation t(9;22)(q34;q11) is known as the philadelphia chromosome (ph) and is a hallmark of chronic myeloid leukemia (cml). An abnormal chromosome called the philadelphia chromosome is associated with chronic myelogenous leukemia. The philadelphia chromosome is found in more than 90 percent of patients with chronic myelogenous leukemia. It was first identified as an abnormally small. Acute lymphoblastic leukemia (all) refers to a group of hematopoietic neoplasms involving cells committed to the lymphoid lineage. The chromosome abnormality that causes chronic myeloid leukemia (cml). Acute lymphoblastic leukemia chronic myeloid leukemia minimal residual disease. The philadelphia chromosome was the first recurrent genetic alteration found to be associated with a specific human cancer, chronic myeloid leukemia (cml). The discovery in philadelphia in 1960 of the ph chromosome was a landmark.

Cytogenetic Analysis Of 55 Cases Of Philadelphia Chromosome Ph Leukemia He The Journal Of Bioscience And Medicine - Acute Lymphoblastic Leukemia Chronic Myeloid Leukemia Minimal Residual Disease.

Double Philadelphia Chromosome Positive B Acute Lymphoblastic Leukemia. The philadelphia chromosome is a specific finding in the genes of a person's white blood cells—a finding that has implications for leukemia. The philadelphia chromosome was the first recurrent genetic alteration found to be associated with a specific human cancer, chronic myeloid leukemia (cml). The philadelphia (ph) chromosome, resulting from the t(9;22)(q34;q11) translocation, can be found in chronic myeloid leukemia (cml) as well as in a subset of acute lymphoblastic leukemias (all). Your cells each contain 23 pairs of chromosomes that are made of dna. Acute lymphoblastic leukemia (all) refers to a group of hematopoietic neoplasms involving cells committed to the lymphoid lineage. The truncated chromosome 22 that results from the reciprocal translocation t(9;22)(q34;q11) is known as the philadelphia chromosome (ph) and is a hallmark of chronic myeloid leukemia (cml). It was first identified as an abnormally small. The philadelphia chromosome is found in more than 90 percent of patients with chronic myelogenous leukemia. The discovery in philadelphia in 1960 of the ph chromosome was a landmark. The philadelphia chromosome (ph) is the shortened chromosome 22 resulting from the reciprocal keywords. Chronic myeloid leukemia (or chronic myelogenous leukemia or cml) is a chronic leukemia, as well as a myeloproliferative neoplasm (mpns). An abnormal chromosome called the philadelphia chromosome is associated with chronic myelogenous leukemia. It most commonly comes up in reference to philadelphia. The chromosome abnormality that causes chronic myeloid leukemia (cml). Acute lymphoblastic leukemia chronic myeloid leukemia minimal residual disease.

Pdf Current Concepts In Pediatric Philadelphia Chromosome Positive Acute Lymphoblastic Leukemia Semantic Scholar . Most People With Cml Have A Gene Mutation (Change) Called The Philadelphia Chromosome.

Figure 1 Therapy Of Chronic Myeloid Leukemia Twilight Of The Imatinib Era. The truncated chromosome 22 that results from the reciprocal translocation t(9;22)(q34;q11) is known as the philadelphia chromosome (ph) and is a hallmark of chronic myeloid leukemia (cml). It was first identified as an abnormally small. Acute lymphoblastic leukemia (all) refers to a group of hematopoietic neoplasms involving cells committed to the lymphoid lineage. The philadelphia chromosome (ph) is the shortened chromosome 22 resulting from the reciprocal keywords. The chromosome abnormality that causes chronic myeloid leukemia (cml). It most commonly comes up in reference to philadelphia. Your cells each contain 23 pairs of chromosomes that are made of dna. The philadelphia chromosome is found in more than 90 percent of patients with chronic myelogenous leukemia. The philadelphia chromosome was the first recurrent genetic alteration found to be associated with a specific human cancer, chronic myeloid leukemia (cml). An abnormal chromosome called the philadelphia chromosome is associated with chronic myelogenous leukemia. The philadelphia chromosome is a specific finding in the genes of a person's white blood cells—a finding that has implications for leukemia. The discovery in philadelphia in 1960 of the ph chromosome was a landmark. The philadelphia (ph) chromosome, resulting from the t(9;22)(q34;q11) translocation, can be found in chronic myeloid leukemia (cml) as well as in a subset of acute lymphoblastic leukemias (all). Chronic myeloid leukemia (or chronic myelogenous leukemia or cml) is a chronic leukemia, as well as a myeloproliferative neoplasm (mpns). Acute lymphoblastic leukemia chronic myeloid leukemia minimal residual disease.

Childhood Acute Lymphoblastic Leukemia Treatment Pdq Patient Version National Cancer Institute : Key Points Signs And Symptoms Of Chronic Myelogenous Leukemia Include Weight Loss And Tiredness.

Pdf Clonal Aberrations In Philadelphia Chromosome Negative Hematopoiesis In Patients With Chronic Myeloid Leukemia Treated With Imatinib Or Inteferon Alpha 3. It most commonly comes up in reference to philadelphia. Acute lymphoblastic leukemia chronic myeloid leukemia minimal residual disease. The chromosome abnormality that causes chronic myeloid leukemia (cml). The philadelphia chromosome is found in more than 90 percent of patients with chronic myelogenous leukemia. The philadelphia chromosome was the first recurrent genetic alteration found to be associated with a specific human cancer, chronic myeloid leukemia (cml). The philadelphia chromosome (ph) is the shortened chromosome 22 resulting from the reciprocal keywords. The philadelphia chromosome is a specific finding in the genes of a person's white blood cells—a finding that has implications for leukemia. The discovery in philadelphia in 1960 of the ph chromosome was a landmark. The philadelphia (ph) chromosome, resulting from the t(9;22)(q34;q11) translocation, can be found in chronic myeloid leukemia (cml) as well as in a subset of acute lymphoblastic leukemias (all). An abnormal chromosome called the philadelphia chromosome is associated with chronic myelogenous leukemia. Your cells each contain 23 pairs of chromosomes that are made of dna. Acute lymphoblastic leukemia (all) refers to a group of hematopoietic neoplasms involving cells committed to the lymphoid lineage. It was first identified as an abnormally small. The truncated chromosome 22 that results from the reciprocal translocation t(9;22)(q34;q11) is known as the philadelphia chromosome (ph) and is a hallmark of chronic myeloid leukemia (cml). Chronic myeloid leukemia (or chronic myelogenous leukemia or cml) is a chronic leukemia, as well as a myeloproliferative neoplasm (mpns).

Philadelphia Chromosome Beyond The Dish : A Summary Of The Story As Told In Full In The Philadelphia Chromosome.

Group 5 Presentation 3 Chronic Myeloid Leukemia Wiki. The philadelphia chromosome (ph) is the shortened chromosome 22 resulting from the reciprocal keywords. It most commonly comes up in reference to philadelphia. The philadelphia chromosome was the first recurrent genetic alteration found to be associated with a specific human cancer, chronic myeloid leukemia (cml). The discovery in philadelphia in 1960 of the ph chromosome was a landmark. An abnormal chromosome called the philadelphia chromosome is associated with chronic myelogenous leukemia. Acute lymphoblastic leukemia (all) refers to a group of hematopoietic neoplasms involving cells committed to the lymphoid lineage. The philadelphia chromosome is a specific finding in the genes of a person's white blood cells—a finding that has implications for leukemia. Your cells each contain 23 pairs of chromosomes that are made of dna. The truncated chromosome 22 that results from the reciprocal translocation t(9;22)(q34;q11) is known as the philadelphia chromosome (ph) and is a hallmark of chronic myeloid leukemia (cml). The philadelphia (ph) chromosome, resulting from the t(9;22)(q34;q11) translocation, can be found in chronic myeloid leukemia (cml) as well as in a subset of acute lymphoblastic leukemias (all). The chromosome abnormality that causes chronic myeloid leukemia (cml). It was first identified as an abnormally small. Chronic myeloid leukemia (or chronic myelogenous leukemia or cml) is a chronic leukemia, as well as a myeloproliferative neoplasm (mpns). The philadelphia chromosome is found in more than 90 percent of patients with chronic myelogenous leukemia. Acute lymphoblastic leukemia chronic myeloid leukemia minimal residual disease.

What Is Philadelphia Chromosome Positive All , It Most Commonly Comes Up In Reference To Philadelphia.

Philadelphia Chromosome Positive Leukemia Stem Cells In Acute Lymphoblastic Leukemia And Tyrosine Kinase Inhibitor Therapy. Acute lymphoblastic leukemia chronic myeloid leukemia minimal residual disease. Chronic myeloid leukemia (or chronic myelogenous leukemia or cml) is a chronic leukemia, as well as a myeloproliferative neoplasm (mpns). Your cells each contain 23 pairs of chromosomes that are made of dna. An abnormal chromosome called the philadelphia chromosome is associated with chronic myelogenous leukemia. The philadelphia chromosome is found in more than 90 percent of patients with chronic myelogenous leukemia. The philadelphia chromosome (ph) is the shortened chromosome 22 resulting from the reciprocal keywords. Acute lymphoblastic leukemia (all) refers to a group of hematopoietic neoplasms involving cells committed to the lymphoid lineage. It was first identified as an abnormally small. The discovery in philadelphia in 1960 of the ph chromosome was a landmark. The philadelphia (ph) chromosome, resulting from the t(9;22)(q34;q11) translocation, can be found in chronic myeloid leukemia (cml) as well as in a subset of acute lymphoblastic leukemias (all). The truncated chromosome 22 that results from the reciprocal translocation t(9;22)(q34;q11) is known as the philadelphia chromosome (ph) and is a hallmark of chronic myeloid leukemia (cml). The philadelphia chromosome was the first recurrent genetic alteration found to be associated with a specific human cancer, chronic myeloid leukemia (cml). The chromosome abnormality that causes chronic myeloid leukemia (cml). It most commonly comes up in reference to philadelphia. The philadelphia chromosome is a specific finding in the genes of a person's white blood cells—a finding that has implications for leukemia.

Current Status Of Treatment For Chronic Myelogenous Leukemia , The Philadelphia (Ph) Chromosome, Resulting From The T(9;22)(Q34;Q11) Translocation, Can Be Found In Chronic Myeloid Leukemia (Cml) As Well As In A Subset Of Acute Lymphoblastic Leukemias (All).

Philadelphia Chromosome Wikipedia. The chromosome abnormality that causes chronic myeloid leukemia (cml). The philadelphia chromosome (ph) is the shortened chromosome 22 resulting from the reciprocal keywords. The philadelphia chromosome is found in more than 90 percent of patients with chronic myelogenous leukemia. It was first identified as an abnormally small. An abnormal chromosome called the philadelphia chromosome is associated with chronic myelogenous leukemia. Chronic myeloid leukemia (or chronic myelogenous leukemia or cml) is a chronic leukemia, as well as a myeloproliferative neoplasm (mpns). Acute lymphoblastic leukemia (all) refers to a group of hematopoietic neoplasms involving cells committed to the lymphoid lineage. It most commonly comes up in reference to philadelphia. The philadelphia chromosome was the first recurrent genetic alteration found to be associated with a specific human cancer, chronic myeloid leukemia (cml). The philadelphia (ph) chromosome, resulting from the t(9;22)(q34;q11) translocation, can be found in chronic myeloid leukemia (cml) as well as in a subset of acute lymphoblastic leukemias (all). The discovery in philadelphia in 1960 of the ph chromosome was a landmark. Your cells each contain 23 pairs of chromosomes that are made of dna. The truncated chromosome 22 that results from the reciprocal translocation t(9;22)(q34;q11) is known as the philadelphia chromosome (ph) and is a hallmark of chronic myeloid leukemia (cml). The philadelphia chromosome is a specific finding in the genes of a person's white blood cells—a finding that has implications for leukemia. Acute lymphoblastic leukemia chronic myeloid leukemia minimal residual disease.